Art in Form
Understanding Blepharoplasty
The eyes, known as the windows to the soul, also easily show signs of aging. Wrinkles, excess eyelid skin, and eyebags can make you look older than you really are and contribute to a tired, haggard appearance. Sagging eyelids can even obstruct your vision. Although initially subtle, these changes in the eyelids often make people feel like they no longer look like themselves.
But no one has to accept this fate meekly. Eyelid surgery is performed to correct signs of aging in the eye area. Dr. Geoffrey Kim performs eyelid surgery in Denver, Colorado, to improve the appearance of the eyelids and restore confidence in his patients.
Schedule a Consultation
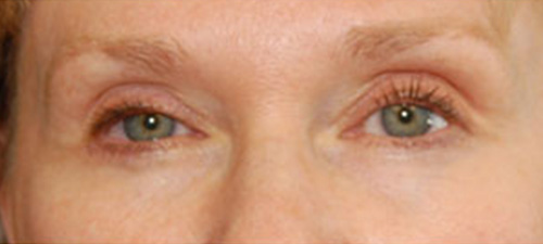
Before
After
Before
After
Before
After
What Is Blepharoplasty?
Blepharoplasty—commonly called eyelid surgery or an eyelid lift—is a surgical procedure that rejuvenates the eyelids by reducing signs of aging. Eyelid surgery can address the upper or lower eyelids or a combination. Different techniques may be used for your eyelid surgery depending on the extent of correction needed and your goals.
Why Choose an Eyelid Lift?
Eyelid lift surgery is an excellent option for women and men with wrinkles around the eyes and droopy eyelid skin. Some of the eyelid lift benefits include:
- Remove excess eyelid skin
- Lift and tighten sagging skin
- Adjust and reposition fat deposits
- Remove excess fat that causes puffy eyelids
- Smooth wrinkles in the eyelid area
- Minimize the appearance of undereye bags
everything is under one roof
Making the Decision
What Are My Eyelid Lift Options?
Depending on the current condition of your eyelids, Dr. Kim will recommend an option that will address your skin issues and achieve your desired results.
Upper Eyelid Lift
If you want to get rid of puffy and drooping eyelids, then an upper eyelid lift may be what you need. The upper eyelid lift consists of an incision in the eyelid’s natural crease, allowing Dr. Kim to adjust the fat deposits and muscles and remove any excess skin and fat causing the eyelid to droop.
Lower Eyelid Lift
A lower eyelid lift can improve the appearance of eye bags and creases under the eyes. During a lower eyelid lift, an incision is created in the lower eyelid so fat can be redistributed and excess fat can be removed. The skin of the lower eyelids is often tightened as well.
Upper and Lower Eyelid Lift
A combination of an upper and lower eyelid lift may be best for patients struggling with drooping eyelids and undereye bags.
Our patients are patients for life. We love to hear their stories.
Read Testimonials“Dr Kim and his staff was amazing throughout the whole process! They really took good care of me. My results are amazing. I have so much more confidence now thanks to dr Kim! Thank you!”
Cathy M.
Google Review“This was my first ever surgery, so I was obviously very nervous. However, the whole team was absolutely amazing in making me feel comfortable and eased my nerves. I’m one month post and I’m so happy with my results!”
K. S.
Google Review“I had the most amazing experience with Dr. Geoffrey Kim and his team. From the front desk , to the operating everyone on board for your surgery is there for you every step of the way .”
Angela T.
Google Review“Wonderful experience, I did breast augmentation. Dr. Kim did amazing and he listened to my wants and needs. Litzy the medical assistant was also amazing with any questions and with caring for your needs. and their anesthesiologist made me feel so comfortable and relaxed.”
Johanna L.
Google Review
Am I a Candidate for an Eyelid Lift?
Good candidates for eyelid surgery are people who want to correct sagging eyelids and reduce hollowness or puffiness under the eyes. Other aspects that make you a good candidate for this procedure include:
- Being generally healthy
- Having no severe eye conditions
- Non-smokers or those willing to quit before and after surgery
- Have realistic goals and expectations for surgery
Schedule a consultation with Dr. Kim to determine if an eyelid lift suits you.
Schedule a ConsultationAdditional Information About Blepharoplasty
How Is Blepharoplasty Performed?
Eyelid surgery is customized and uses different techniques depending on the patient and their goals. While the procedure steps may vary depending on the methods used, you can expect the following during an eyelid lift:
- Before the procedure begins, Dr. Kim will review your surgical plan with you, allowing you to ask any new questions.
- Intravenous sedation or general anesthesia, administered by a board certified anesthesiologist, will be used to ensure your comfort during the procedure. Some patients may be candidates for local anesthesia.
- Dr. Kim will make incisions on the upper or lower eyelid (or both, depending on what type of eyelid you are getting).
- Excess fat and skin will be repositioned and removed accordingly.
- Dr. Kim will close the incisions.
- The eyelids may be loosely wrapped in gauze.
What Is Blepharoplasty Recovery Like?
Blepharoplasty recovery typically takes around two weeks for your eyelids to look normal and presentable. It may take a few months for the surgical wounds to heal completely. Dr. Kim will provide you with detailed instructions for your recovery and caring for your incisions.
Most patients can go home on the day of their procedure. You should prioritize resting, especially during the first 24 hours of recovery. Cold compresses may be applied to the eyelids to minimize swelling, and gauze pads may be used to stop bleeding. Dr. Kim may recommend pain relief medications for you as well.
Some bruising and swelling are normal as your eyelids heal. It is best to sleep with your head elevated and avoid sleeping on your sides during this time.
When Will I See My Eyelid Lift Results?
Your eyelid lift results will appear gradually as your body recovers. Some patients see results in one to two weeks after surgery. However, swelling can make it difficult to see the full results. For other patients, it takes a few more weeks for their full results to be visible.
The best way to see your results as soon as possible is to follow the aftercare instructions from Dr. Kim carefully.
Eyelid surgery results are long-lasting, but they cannot stop natural signs of aging from occurring. Taking care of your eyelids and using proper sun protection (sunscreen and sunglasses) when necessary will help your results to last longer.
Want to Learn More About Eyelid Lift Surgery in Denver, CO?
For more information about eyelid lift surgery in Denver, CO, or to schedule a consultation with Dr. Kim, call us today at (303) 741-3131 or complete our online contact form.